Dental Implants in Canterbury & Faversham, Kent

Affordable and permanent dental implants for missing teeth at Faversham Smiles, Kent

If you’d like affordable and stunning dental implants in Kent from a highly rated and experienced Implantologist, our modern Faversham clinic can help.

At Faversham Smiles, we can replace one or more missing teeth with top-quality, natural-looking dental implants. Our trusted implant dentists have years of experience and provide patients with strong and long-lasting implants at very competitive prices.

As well as fitting single tooth implants, we can also replace several teeth with an implant retained bridge, or a whole arch using All-on-4s. Find out more below.

Faversham Smiles Logo Icon

Dental implants from only £2,250

Why choose Faversham Smiles for Dental implants?

  • Highly skilled Implantologists
  • Very competitive prices
  • Advanced techniques using the latest technology and materials
  • Great looking, long lasting and top quality implants at affordable prices
  • Secure, independent and without needing adjacent teeth for support
  • Permanent solution that can be easily maintained like natural teeth

Interested in Dental implants?

For more information or to book an appointment
please call 01795 515601 or enquire online

The benefits of Dental Implants

Dental implants are often used to replace one or more teeth which have been lost. They are highly recognised as the most reliable and long-term solution which allow you to restore your smile with a more natural look. They also function and feel just like natural teeth too.

Implants are extremely stable as they are fitted securely into the jaw bone using a titanium screw. These small screws act like the roots of a tooth which provides the necessary support for an abutment and the final placement of a new dental crown.

All-on-4® Dental Implants

The All-on-4® implant concept provides an excellent solution for patients who are missing all their teeth, or their remaining teeth have to be removed. With only four dental implants required, All-on-4® can restore a complete jaw of missing teeth in shorter treatment times and at lower costs.

Patients can even benefit with fixed teeth from day one. Depending on your individual dental situation, our implantologist can fit your implants to a temporary bridge on the day of treatment. This means you can leave our dental practice and return home with a full set of teeth. After your implants have fused to the bone and healed, our dentist will replace your temporary teeth with your final bridge which is created and refined by our dental laboratory.

Dental implants can be yours from £2,250. To book a free dental implant consultation, please contact Faversham Smiles on 01795 515601.

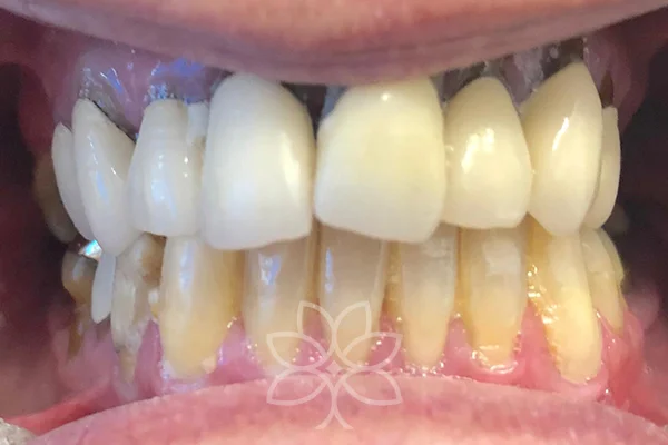
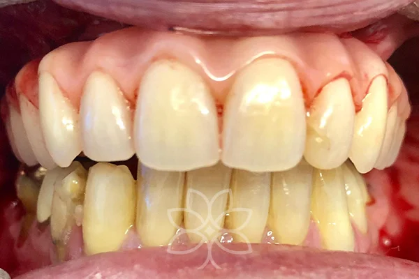
Examples of our Dental Implants

Before - Faversham
After - Faversham
Before - Faversham
After - Faversham
Before - Faversham
After - Faversham

Proud to be one of the highest rated dentists in Faversham

Patient satisfaction is very important to us

Faversham Smiles Logo Icon

Why choose
Faversham Smiles

  • Quality dentistry at competitive prices
  • Highly qualified team of professionals
  • Comprehensive range of treatments available
  • Modern facilities in a relaxed environment
  • Experienced staff, committed to caring for you

Enquiry Form

To find out more or to book an appointment, give us a call, send an email or fill in the enquiry form above.

Faversham Smiles Logo Icon